3D 시각화를 위한 오픈소스 소프트웨어 패키지이다. 무엇보다도 Segmentation에 관심이 많아 한번 설치후 테스트 해본다.
https://en.wikipedia.org/wiki/3DSlicer
3DSlicer - Wikipedia
3D Slicer (Slicer) is a free and open source software package for image analysis[1][2] and scientific visualization. Slicer is used in a variety of medical applications, including autism, multiple sclerosis, systemic lupus erythematosus, prostate cancer, l
en.wikipedia.org
3D Slicer Download
You are one click away from downloading 3D Slicer, a free and open-source platform for analyzing and understanding medical image data. Created through multiple grants from the US National Institutes of Health (NIH) over almost two decades, Slicer brings po
download.slicer.org
설치하고 실행하는데 크게 문제되는게 없었다.
https://www.youtube.com/watch?v=BJoIexIvtGo&feature=youtu.be
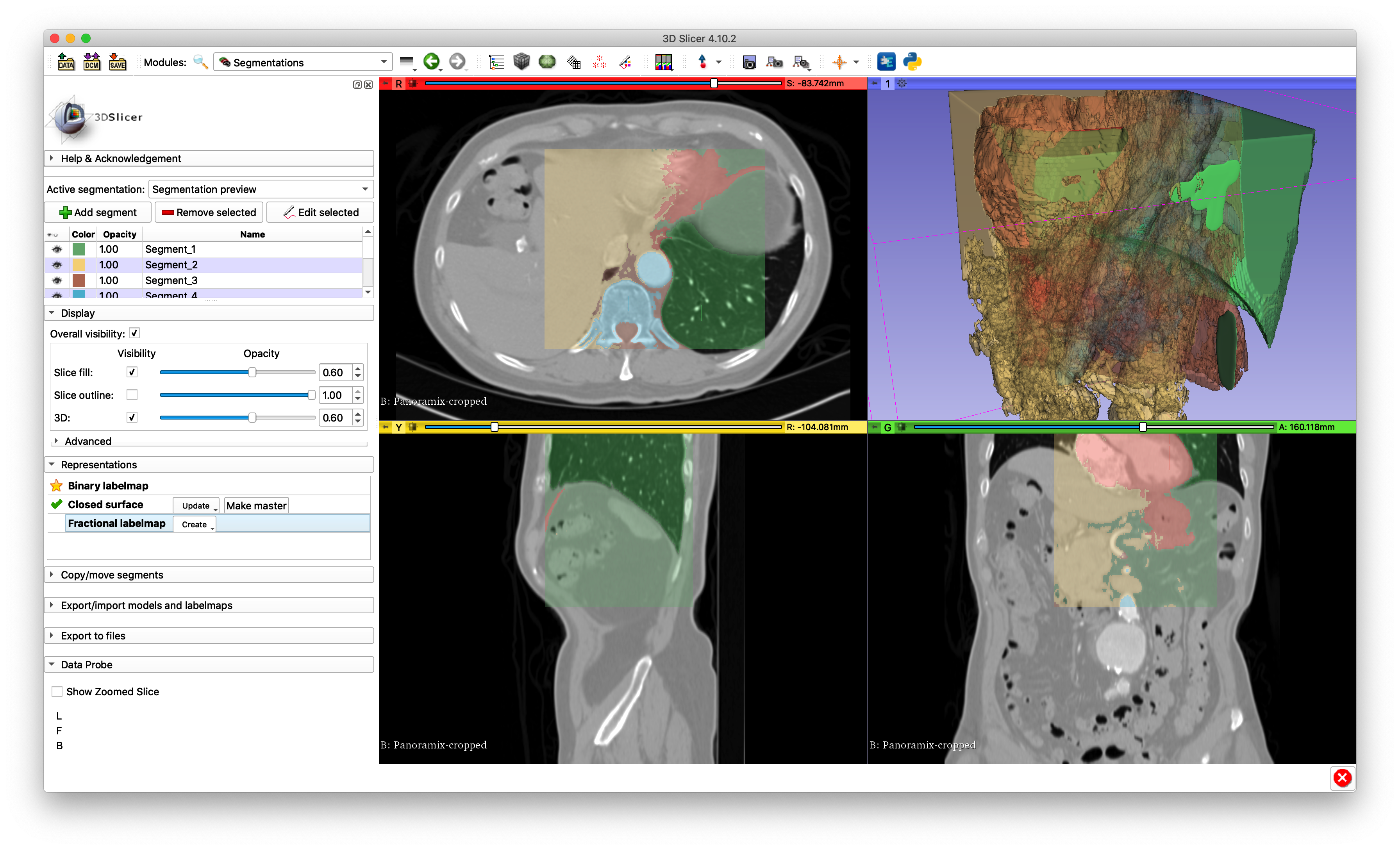
열심히 따라 하다 보니...이런 결과물을 만들었다.

slicing function을 설정하고 실행해 봤다.
VTK Library를 기본으로 만들어진 프로그램을 보니 나의 결과물도 빨리 만들어 보고 싶은 욕망이 생긴다.
'3D Visualization' 카테고리의 다른 글
| 3D Scan (0) | 2020.08.22 |
|---|---|
| scikit-image (0) | 2020.05.16 |
| VTK Plotter (0) | 2020.05.16 |
| OPEN 3D (0) | 2020.05.16 |
| K3D Jupyter (0) | 2020.05.15 |